社區新聞
影/機車競速出事了!巴西男煞不住「自撞圍牆」 身體遭車架刺穿重傷亡
2025-11-23

翻攝自網路
【Lai傳媒、記者爆料網/方慕辰/綜合報導】
巴西發生一起飆車競速死亡事故,騎士自撞圍牆身亡。
根據外媒報導,巴西亞馬遜州16日發生死亡事故,傑克森(Jackson da Silva Ferreira)在一場飆車比拼中失控,撞上圍牆後身亡。
影像顯示,傑克森與另一名騎士均未戴安全帽,兩人同時起步、加速,在街上進行飆車競賽,周圍人群還在一旁鼓動。他們在街道盡頭迴轉後以高速衝刺,傑克森煞車不及撞上圍牆,造成圍牆損毀並導致他死亡。
事故中,機車的部分結構刺入他的身體,進一步惡化了傷勢。而傑克森使用的還是他人的機車,他雖然被送往醫院,但傷勢過重仍不治身亡。
您可能有興趣
-
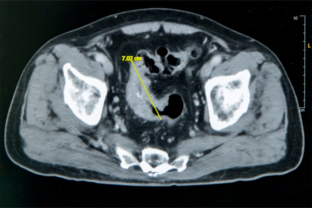
雲林七旬翁便秘 竟是7公分大腸癌惹禍
雲林縣七旬翁由於便秘,到雲基接受舒眠大腸鏡檢查,結果顯示大腸有異常病灶,經評估需手術治療。為讓父親手術過程減少疼痛、恢復更快,女兒選擇轉至彰基醫學中心接受治療,由大腸直腸外科張譽耀主任操刀,採用單孔達文西機械手臂SP系統手術。-
2025-11-25
-
-
-
彰縣10月份詐騙案 外籍車手激增 查獲355人外籍男女
彰化縣警局公布114年10月份彰化縣轄內詐騙現況,受理件數530件及財損數1億7,244 萬元;以每十萬人口數統計,彰化縣10月份平均受理詐欺案43.1件,平均財損金額約1,402萬元。查獲各類詐欺車手共1,516人次,其中外籍車手的查獲人數達355人次,國籍以越南籍最多,達274人次。-
2025-11-25
-
-
-
-
-
-
-
-